医院动态

学术动态

当前位置: 首页 > 医院动态 > 学术动态 > 正文

肝海绵状血管瘤的微创介入治疗

来源:微创介入科 作者:219   编辑:   审核:   发布时间:2015-10-16   点击量:   作者:

肝海绵状血管瘤为肝脏最常见的良性肿瘤,约占肝脏良性肿瘤的84%,好发于女性,发病率为男性的4.5-5倍。多见于30-60岁。肿瘤90%为单发,10%为多发。肿瘤直径从2mm20cm不等,大于10cm者称巨大海绵状血管瘤。肝海绵状血管瘤其病理改变为肝实质中异常扩张的血窦,窦壁内衬单层血管内皮细胞,血窦内纤维组织不完全间隔形成海绵状结构,窦腔内充满血液,间质可出现纤维化、钙化,形成血栓和发生粘液变性。早期临床上可无症状,偶然在体检中发现,瘤体较小而无症状的血管瘤不需治疗。较大者则可引起肝肿大或压迫胃、十二指肠等邻近器官,出现上腹部不适、腹胀、嗳气、腹痛等症状,部分病人可合并贫血。其最危险的并发症是肿瘤破裂引起腹腔急性大出血,常可导致死亡。

肝海绵状血管瘤的诊断主要依靠影像学检查,各种检查表现不同且各有其特征。超声检查的特征性表现为肿瘤边缘裂开征、血管进入或血管贯通征。CT表现为瘤体对比增强过程呈“早出晚归”的特征。90%的海绵状血管瘤CT可以确诊。核磁检查肿瘤在T1WI表现为均匀的低信号,T2WI表现为均匀的高信号,随着回波时间的延长其信号强度也越来越高,出现所谓的“灯泡征”。肝动脉造影一般只在计划同时进行介入治疗时选用。肝海绵状血管瘤应与肝癌鉴别。

手术切除曾是治疗该病的最有效方法,但创伤较大,对瘤体较大或靠近肝门及多发者则难以完全切除且并发症较多。随着现代医学科技的发展,近二十年来,微创介入法以其独特的优势普遍运用于肝血管瘤的治疗并取得了满意疗效,现简单介绍如下:

1、 肝动脉栓塞术 研究证实大部分肝海绵状血管瘤主要由肝动脉供血,通过栓塞肝动脉可以阻断肿瘤血供,同时应用液态栓塞剂无水乙醇、鱼肝油酸钠及平阳霉素碘化油乳剂栓塞肿瘤血窦,破坏肿瘤血窦内皮细胞,使血窦纤维化闭锁,肿瘤缩小或消失,从而达到治疗目的。

2 、影像引导经皮穿刺瘤体硬化剂注射术 B超或CT的精准引导下将硬化剂经皮直接注入瘤体窦腔内,从而达到治疗作用,该疗法简单直接,适用于较小或少血供的血管瘤,或作为大血管瘤肝动脉栓塞后的补充治疗。

3、 微波消融治疗 对于单发较大的血管瘤亦可以采用B超或CT精确定位经皮穿刺微波加热使肿瘤组织凝固坏死,短时间内即可达到肿瘤完全坏死的治疗效果。

三种治疗方法是单独应用还是联合应用要根据每位患者的具体病情进行选择。总之,肝海绵状血管瘤的微创介入治疗具有创伤小,安全性高,可治愈的优势,是该病患者的最佳选择。(余国政)

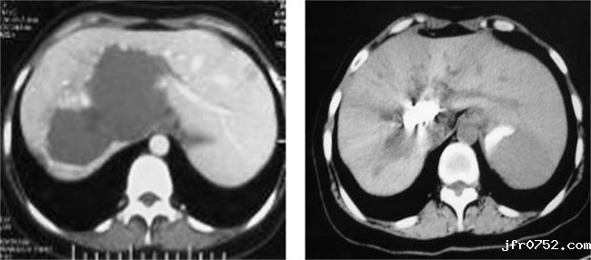
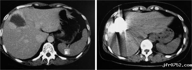
以下是成功病例的CT影像对比:

男,68岁,肝左叶巨大血管瘤,肝动脉栓塞后,肿瘤消失

女,48岁,肝右叶海绵状血管瘤,CT引导经皮穿刺平阳霉素碘油乳剂注射

女,46岁,肝门区巨大海绵状血管瘤,肝动脉栓塞及经皮穿刺平阳霉素碘油乳剂注射,治疗后肿瘤完全消失。


Baidu
map